Как выглядят легкие человека, который заболел коронавирусом: 3D-анимация
Ученые в США на основе МРТ-сканов создали цветную 3D-анимацию, которая наглядно показывает, что коронавирус делает с легкими человека. За образец были взяты легкие пациента, который не болел ничем серьезным до заражения COVID-19: его единственной проблемой было повышенное кровяное давление.
Врач-патологоанатом, клинический фармаколог Александр Эдигер поделился мнением об изменениях в легких человека при поражении новым коронавирусом. Эксперт сделал выводы на основе наблюдения за больными COVID-19, а также после вскрытия скончавшихся от инфекции.
“Это никакая не пневмония", - приводит слова эксперта ИА "Общественная служба новостей". Эдигер объяснил, что воспаление легких обусловлено микробным или микробно-вирусным возбудителем или с формированием сложной ассоциации возбудителей. При этом по его словам, воспаление имеет достаточно ограниченный по времени процесс. Фатальный исход этого процесса происходит в самом крайнем случае.
Однако при коронавирусе наблюдается поражение стенок сосудов и клеток крови, отметил Эдигер. Он также отметил, что таким образом легкие при коронавирусе не являются мишенью номер один. "Поражаются рецепторы, которые есть не только в легких, но и в сосудах и в пищеварительном тракте", - отметил он.
Эксперт привел данные китайских исследователей, которые говорят о том, что коронавирус поражает гемоглобин в эритроцитах, что приводит к гипоксическому синдрому - нехватке кислорода.
"Мы имеем дело с очень специфичным поражением легких. Этот вирус устроил нам кучу сюрпризов", - сказал Эдигер.

Всё ещё не верите в необычный вирус?
Проголосуйте, чтобы увидеть результаты
Хватит нагнетать истерию!
"Коронавирус — это ОРВИ. Возбудитель впервые выделен в 1965, 1968 гг. По различным данным коронавирусная инфекция составляет от 4 до 20% ОРВИ. В 2003 (!) году открыт новый коронавирус — возбудитель тяжелого острого респираторного синдрома".
Дальше читаем в том же учебнике:
"Тяжелый острый респираторный синдром (ТОРС, SARS) — тяжелая форма коронавирусной инфекции, характеризующаяся преимущественным поражением легких и развитием острой дыхательной недостаточности в тяжелых случаях."
Н.Д.Ющук и Ю.Я Венгеров, Учебник инфекционных болезней, 2003 г., стр.323
Штамм коронавируса СOVIR-2019 имеет похожую клинику и симптоматику с ТОРС или атипичной пневмонией. Совпадение этих двух вирусов из одного семейства составило 75-80%.
Так как смогли из известного подвида ОРВИ раздуть такую пандемию?
Вы это скажите врачам, учёным всего мира, которые показали отличие этого вируса от других, который поражает и быстро легкие, а не как ОРВИ, грипп, который поражает верхние дыхательные пути.. Вы первый раз про это отличие слышите? Не читайте жёлтую прессу.. Там такие же, как Вы пишут такую же чушь.. А В 2003 году не было ЭТОГО вируса и никто не мог его описать.. Вы хоть сами понимаете бредовость Вашей логики, основанной на личном мнении и учебнике 2003 года? Вам уже показали сами лёгкие, изменения в них, а Вы всё талдычите про ОРВИ)))
Господи, какая разница, новый, старый. Вопрос в том, возможно ли разумно реагировать на это явление, не обрекая людей на голод? Собакинцы уверенно отвечают - нет!
Про голод пишут те, кто весит 80 и более кг!
Пишут те, кто не хочет, чтобы люди весили мало))
Люди с избыточным весом подвержены заболеваниям сосудов, раннему артрозу, а в запущенных случаях страдают все органы и системы - конечно, есть такие, кому выгодно, чтобы люди весили много)
Пишут для того, чтобы никто не позарился на их запасы гречки, макарон и тушенки.
Так вот и хорошо, если люди с избыточным весом похудеют, здоровее будут.
А что лучше умереть сытым от вируса или выжить голодным? ВЫ голодаете, ещё кто может сказать так?
Еще не голодаю, но если и селяне подчиняются террористическим угрозам правительства, то осенью большинству нечего будет положить за щеку)) а насчет вируса не беспокойтесь. Нам надо очень постараться, чтобы нагнать прошлый год по смертности от заболеваний легких. Насколько я понимаю, пока что мы и 10-й части прошлогоднего успеха не повторили!
До голода нам ОЧЕНЬ далеко. У нас очень много людей с лишним весом.
Никто не голодает. О голоде пишут те, кто весит более 80 кг.
Вот когда начнёте, тогда и поднимите этот вопрос, почти всё уже заработало. Если бы заболевание было лёгким, то и смертей не было бы от полного разложения лёгких и последствий таких.. Итог ГОДА мы увидим в конце года, а не в начале.. В Китая пошли вторая волна уже..
Кто и где показал. Никто и нигде. Просто какие-то громкие заявления в непонятных СМИ. И это очень странно.
Если это какой-то новый вирус, то значит это не паханое поле для ученых. Че ж тогда они не схватились за него, тем паче, что заболевших море. Уже есть достаточное количество для проведения серьезных исследований и написаний научных работ. Где же эти работы в научных журналах? Ученые перевелись?
Вы хоть что знаете про этот вирус? Ответьте, КОГДА МИР УЗНАЛ про него и сколько прошло времени после этого? И где врач из Китая, который хотел про это сказать раньше всех?
Вы думаете, что все эти открытия симптомов (всё новые и новые) , возраст постоянно меняющийся у заразившихся, появление всё новых открытий про этот вирус, ВЫ придумали или я? И чем же занимаются учёные, вирусологи, если им достаточно нашу тему почитать и всё станет ясно))) Какие журналы, если его даже не полностью изучили и ВСЕ учёные сходятся, что он постоянно мутируется, что мы тоже видим.. Если в Китае был вирус, который косил пожилых, то сейчас молодые лежат с ним.. И если говорили, что это пневмония, то теперь-это тромбы к сосудах кровеносных.. Если ИВЛ считалось спасением, а после смертей - считается концом и ускоренным для некоторых.. Достаточно чего, за пол-года Вы хотите уже журналы читать и забыть о нём, как о кошмарном дне? Вы фантастикой увлеклись.. А в сутки уже по 10 тысяч заражённых ещё..
Лимончик скушайте и мяту заварите
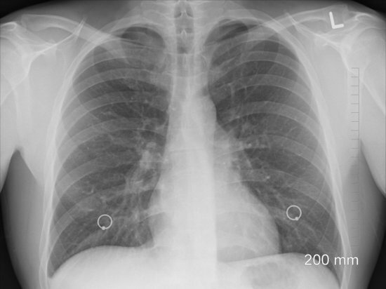
Ольга, вы видимо сами не до конца всё поняли. Не в учебнике, а в журнале ЗОЖ (9 номер за 2003 г.). Сами найдите в интернете и прочитайте. Смотрела я на эту 3D модель. Да, очень красочно показано. А потом смотрела снимок лёгких. Или его специально так показали, чтобы несведующие люди ничего понять не могли или... Много я видела снимков лёгких и при пневмонии, и при туберкулёзе. А на этом снимке... извините. 2 кружочка, за которыми вы и под лупой ничего не увидите.
ЭТО КАРТИНКА почти здоровых лёгких,. РОЛИК СМОТРИТЕ.
вы тоже можете создать ролик и так же уверять людей, что этого нет.. НО.. ВЫ берёте на себя ответственность за смерть тех, кто ВАМ поверит, совесть Ваша как на это среагирует? Покажите такую болезнь, которая ТАК поражает лёгкие? И спросите у нашего Бабкина, который похоронил своего родственника именно из-за этого, как ВЫ говорите," ОРВИ.. "
Виолетта, а как ВЫ думаете, кому верить, врачам, снимкам лёгких и.и.и. или ВАМ, которая взяла за источник учебник от 2003 года и ролик от блогера?
Послушайте, хватит испражняться своим скудоумием.
Ваша цель проста, как 2 копейки, - оправдать существующий режим.
Так что "пилите, Шура, пилите"...
Ну, что поделать, коли Вы...
А как ваша совесть отреагирует, если вы будите этой статьей причастны к формированию фашизма на планете? Я первая буду рада, если это БРЕД! И извинюсь перед вами! Но! Аргументов за то, что все к этому идет во много раз больше, чем ваши страшилки!
А теперь поподробнее про фашизм, за красивыми словами, должен быть смысл всё же, думаю)
Скорее всего, она имеет в виду, что без всяких формальностей, одним махом придурка собакина посажен под арест многомиллионный город. Может, фашизм это преувеличение - у нас нет данных, что собакин действует под влиянием националистических и антикоммунистических соображений, но сказки о демократии можно окончательно похоронить. А вовчик, безусловно, хитрец - все перепоручил собакинским, а он в случае чего ни при чем - слишком доверился оленеводу)) он же не знал, что тот развяжет полицейский террор?
Зачем спорить с тем, кто не хочет слышать? Для меня есть две возможные причины такого вашего мнения - одни люди - очень напуганы через СМИ вирусом - есть пожилые, есть больные, просто с ослабленным здоровьем... люди, которые мало изучают информацию... не умеют анализировать... НО таких становится все меньше. И вторые - которые поддерживают НЕСУЩЕСТВУЮЩУЮ ПАНДЕМИЮ по идеологическим мотивам - яркий пример - СОЛОВЬЕВ!
Но для вас лично я готова привести пример - просто посмотрите выступления Грефа и Гейтса! Высказывания один в один главных фашистов! Дословно не скажу, но... образование ВРЕДНО, нельзя его давать ВСЕМ, иначе мы не сможем манипулировать народом! Образования надо дать столько, чтобы народ мог нас обслуживать! И это ОТКРЫТО говорит человек, который сейчас занимается реформой нашего образования!
А кто его поставил на это место? Кому сказать спасибо за то, что наше образование скатилось до самого низкого уровня? Теперь ещё и дистанционное обучение вообще сведёт его на нет. И мы собираемся голосовать за продление этого безобразия? Тогда чего возмущаться, что нас и...ют, как хотят.
А ВЫ хотели бы, чтобы во всех городах было так, как в Москве? Так в каждом своя обстановка, разве это не правильно, что в связи с ней и меры-разные и кто это должен решать? Вы хоть иногда головой думайте.
И ВО ВСЁМ МИРЕ шухер устроил? Вот да, не и ну))))
А как Вы думаете, если кто-то из ваших знакомых умрёт от него, ВЫ будете прямо в глаза смотреть людям или спрячете от стыда за то, что сами толкаете людей на смерть? Кто ВАМ вообще дал право, замазывать этот вирус, который изучается и до сих пор не изучен, про который говорят врачи (лично знакомые) и признают его опасность, а ВЫ толкаете людей на улицы и не соблюдение мер зашиты.. Кого Вы вообще из себя возомнили?
Ушёл из жизни из-за коронавируса или сопутствующих заболеваний? Да, вирус мог спровоцировать такое развитие событий. И можно посочувствовать родственникам этого человека. А все прошедшие годы, сколько людей уходило из-за гриппа и ОРВИ? Тоже ведь детей отпускали из школ на временный карантин, но пандемию никто не нагнетал. И по цифрам нам сейчас почему-то сводку не дают. Сколько умерло в марте, апреле прошлого и позапрошлого года? И ведь опять же, грипп провоцировал осложнения разных хронических заболеваний. Сегодня всё тоже самое.
Когда попадают на ИВЛ, то думают не О СТАТИСТИКЕ, рыдают и молят о спасении, пока силы есть, а потом затихают навсегда в железных гробах на самых дальних кладбищах, правда уже навсегда без масок и перчаток.
Точно также, как из обычного неопасного гриппа появилась весьма смертоносная испанка, через мутацию.
Испанка - это испанка. Чума - это чума! И не надо путать все подряд!
А ты вообще кто, чтобы поучать? Сама то хоть разбираешься в болезнях?
Виолетта, уважаемая, у Вас силы есть - не "нагнетаться" и флаг Вам в руки, ведите за собой свою "паству", т.е. тех, кто Вам верит.
А по мне, лучше "пере бдеть", чем "не до бдеть"!
Не надо всех держать за "недоумков", каждый пусть решает сам.
При моём "букете" одной "короны" хватит, чтобы родня заказывала ритуальный оркестр. "Букет" у меня не вчера появился и, поверьте, за годы болезни я не раз болел и гриппом, и обычным ОРВИ (!). А вот этот, по Вашему, "подвид", почему-то мне очень не симпатичен.
Продолжаем паниковать.
От этого ситуация не изменится.
Обычной он или нет судить специалистам.
Но ещё крайне много вирусов, в том числе неизвестных.
Если по каждому из них закрывать экономику, будем умирать с голода и в не таких количествах.
Про голод пишут те, кто весит более 80 кг!
Когда будем, тогда и поговорим..
Ответ ваш супер! Типа КОГДА РАК НА ГОРЕ СВИСТНЕТ!
Вы голодаете?
Я пока нет. Мне повезло, я бюджетник. Но доход семьи сократился на 60%. Не рассчитывали на такое, когда брали ипотеку. Поэтому сейчас очень тяжело. А многие знакомые вообще без зарплаты сидят.
Ольга, ну и к чему эта статья? Нас и так со всех сторон кошмарят, так еще и вы вносите свою лепту!
Эта лепта НОВАЯ, новые данные и уже реально могут показать, что происходит.. ЕГО, вирус изучают и нам надо это знать, с чем мы можем столкнуться.. Зарыть голову, как страус, может, для кого и проще, а я ХОЧУ ВСЁ знать!
не заходите, не читайте темы, выводы учёных, кто Вас насильно заставит?
Все продолжаете нас пугать! Ну, ну! Нормальный человек знает, что вирус этот есть. Ну и что? Почему не показываете раковые органы? Готовите нас к фашистской организации устройства мира? Поддерживаете Грефа, Гейтса, которые озвучивают свои идеи устройства мира согласно идеям Гимлера, Бормана, Геренга? Не нравится, что все больше людей задумываются над истинными причинами запугивания? Я бы рада была, если бы узнала, что все это БРЕД! Но, именно, эта информация в 1000 раз более похожа на правду, чем искусственная "ИДЕОЛОГИЧЕСКАЯ ПАНДЕМИЯ". Умеющие думать и анализировать давно поняли, что коронавирус не ЧУМА! И для своих выводов нам не надо слушать чужое мнение, достаточно самостоятельно послушать Гейтса и Грефа! Посмотрите "Бесогон ТВ - У кого в кармане государство? - Никита Михалкова". Кому лень, посмотрите хотя бы концовку с 46 минуты. Задумайтесь - вы хотите жить в таком мире? И на фоне всего этого вспомнился фильм фантастика ВРЕМЯ 2011 г. Очень рекомендую посмотреть. Сейчас есть на это время. Посмотреть и задуматься. Фантастика со временем становится реальностью! И в этом фильме валюта - минуты жизни человека! Не отдельные денежные системы, не общая криптовалюта! Посмотрите!
Надо соблюдать рекомендации и не призывать к их нарушению. А всё остальное-каждый имеет право на мнение..
А насчёт чипов-они уже давно есть и многие сами себе их вставляют, чтобы связки ключей не носить.. А данные на всех есть в базе ФСБ.. Вот Вами кто заинтересуется, всех бабушек, дедушек проверят, кто, чем занимались, сидели в тюрьме, брали кредиты и.и.и.и. И про друзей близких так же.. Вы наивный человек, все уже давно, как на ладони и давно.. Так что, все эти сказки для детей младшего возраста..
Не про те чипы вы говорите! Посмотрите Н. Михалкова - Бесогон ТВ - У кого в кармане государство?. Если лень - посмотрите хотя бы последние минуты с 46 минуты! Я этого боюсь, а не коронавируса! А еще посмотрите фильм фантастику ВРЕМЯ 2011 год! Фантастика со временем становится реальностью!
Ну.. Раз Михалков. Тогда всё.. Я ПАС))) Боитесь, а говорите не надо паники, умереть от неё можно)))
Сидите и прячьтесь по квартирам годами, наденьте скафандры для походов в магазин, потому что по телевизору рассказали о вирусе. Посмотрите фильм Кловерфилд 10.
А ВЫ ПОСМОТРИТЕ " ЗАРАЖЕНИЕ" ..
А Вы в глаза тех, кто похоронил родных от этого вируса.. Наш Бабкин Вам может ответить на ВАШ скафандр, он уже хоронил..
Кстати про ЗАРАЖЕНИЕ! У нас еще не было вируса, а нас пугали! Помните как? А я помню! СМИ про КИТАЙ! Там такой страшный вирус - люди падают на улицах ЗАМЕРТВО! Вспомнили? Уже нас готовили - бояться! И мы начинали бояться! Сейчас ежедневно выявляют у людей этот вирус - кто-то падает на улицах?...
Господи, ну когда же мозгами будут шевелить, а не только пальчиками по клавиатуре бить? Вирус мутируется, у них там и молодые не болели, а падали пожилые, ВЫ это считаете не правдой, для вас постановку сделали? Вы боялись? Я нет.. А недавно умер мальчик маленький, бабушка отвела потому, что зубки болели.. Проверили на вирус. Положительно.. поздно обратились, умер.. А ещё у нашего бабкина спросите, он похоронил уже от него близкого..
Да, кто же вам не дает бояться и сидеть в своей норе? То, что вы определили наличие мозга только у самой себя всем понятно.
А вы посмотрите фильм ВРЕМЯ 2011 г.