Мозг Элизы Г. просто потрясающий. В нем также отсутствует большой кусок.
Новый проект исследует интересные мозги, чтобы лучше понять гибкость нейронов.

ПРИМЕЧАНИЕ РЕДАКТОРА: Большинство участников проекта "Интересный мозг", о которых идет речь в этой статье, используют сокращенные формы своих имен и/или псевдонимы для защиты своей частной жизни.
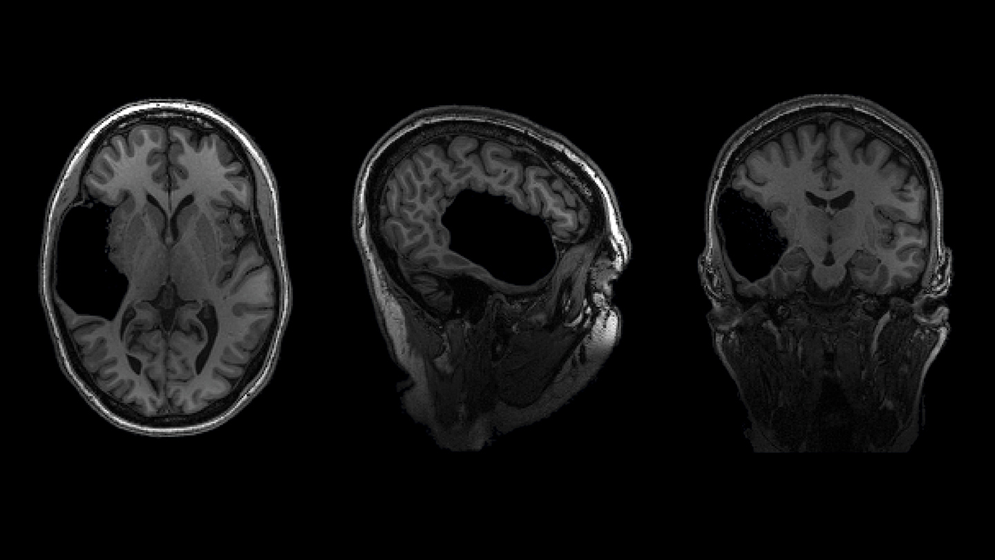
Вы никогда не догадаетесь, что у Элизы Г. в мозгу черная дыра.
Встретьте ее на улице, и невозможно будет сказать, что у нее отсутствует кусок нервной ткани размером с небольшой кулак.
А вот при взгляде на снимки ее мозга - совсем другое дело. Такое впечатление, что кто-то опрокинул бутылку с чернилами. Внутри черепа, возле левого уха, образовалась лужица черных чернил. Внутри пятна нет ни белого, ни серого вещества, ни кровеносных сосудов, ни тканей.
Элизе говорит, что не нужно быть нейрохирургом, чтобы понять, чем отличается ее мозг: "Здесь не хватает большого куска!".
Ученые не могут точно сказать, как это произошло. Возможно, когда-то давно, возможно, в результате инсульта, случившегося до или вскоре после рождения, часть мозга Элизы умерла и в конце концов исчезла, оставив после себя только жидкость - ткани мозга заменила заполненная жидкостью пустота. У ее сестры тоже есть такая пустота.
Элайза и ее сестра Марта М., которые не называют своих полных имен, чтобы сохранить анонимность, выглядят и ведут себя совершенно обычно. Но у каждой из них отсутствует большая часть височной доли, причем в разных полушариях. У Элизы также отсутствует часть ствола мозга. Эти женщины - две из тех, кто знает, сколько людей прожили свою жизнь без структур мозга, которые обычно считаются важнейшими.
Марта, которой сейчас 59 лет, узнала о том, что ее мозг устроен иначе, только в подростковом возрасте. Элайза, которой в этом году исполнится 61 год, узнала об этом в аспирантуре. Две сестры. Два мозга. Две черные дыры. Когда команда когнитивного нейробиолога Эвелины Федоренко из Массачусетского технологического института впервые узнала об этом дуэте, "мы все были просто потрясены", - говорит она.
Элизе прислала Федоренко снимки своего мозга в 2016 году, спустя десятилетия после обнаружения пустоты. Она прочитала статью об исследованиях в области нейронаук в Массачусетском технологическом институте и хотела узнать, заинтересует ли это ученых. Она ответила: "У меня отсутствует левая височная доля. Вы хотите меня изучать?"" вспоминает Федоренко.
Считается, что левая височная доля необходима для развития речи и языка, и Федоренко, получившая образование исследователя языка, была заинтригована. Ее лаборатория раньше не изучала людей, подобных Элизе, но "я очень авантюрный ученый", - говорит она. Поэтому ее команда привезла Элис в лабораторию для проведения тестов.
В то время Федоренко еще не знала, что эти первые исследования приведут в движение вихрь, который изменит ход ее исследований. Результаты работы ее группы привлекли внимание средств массовой информации, что побудило еще больше людей присылать свои снимки мозга. То, что начиналось как единичное исследование, теперь превратилось в проект "Интересный мозг".
К концу осени этого года в рамках проекта, вероятно, будет просканировано более 40 человек с нетипичным мозгом. Во многих случаях у участников отсутствуют целые области мозга, и, как и Элайза, они узнали об этом только в зрелом возрасте.
По словам Федоренко, это может быть заслугой гибкости мозга - его способности меняться и приспосабливаться, включая резервирование. Подобно резервным генераторам, некоторые участки мозга могут включаться в работу при повреждении других. Внимательное изучение случаев, подобных случаю Элизы, может помочь ученым лучше понять, как наш мозг справляется с повреждениями и почему некоторые виды повреждений оказываются хуже других.
В настоящее время группа Федоренко сосредоточилась на изучении языка и аспектов высокоуровневого познания, таких как способность человека к общему рассуждению. Однако эта работа может дать представление о работе мозга в более широком смысле и, возможно, в будущем позволит врачам лучше понять, на какие результаты может рассчитывать человек с черепно-мозговой травмой.
Во всяком случае, на это надеются Элис и Федоренко. До начала работы с командой Массачусетского технологического института, - говорит Элизе, - мне казалось, что мой мозг нужно "лечить", а не прославлять". Теперь это не так. Сейчас, когда Элизе думает о своем мозге, ей на ум приходит совсем другое слово. "Он потрясающий", - говорит она.
МРТ обнаруживает атипичный мозг
Впервые Элис узнала о своей атипичности мозга после МРТ, проведенной осенью 1987 года. Ей было 25 лет, она училась на первом курсе аспирантуры в Вашингтоне, заядлая читательница и мастерски владела иголкой и ниткой.
На приеме у невролога в больнице Университета Джорджа Вашингтона Элис, которой ранее был поставлен диагноз "эпилепсия", хотя приступов никогда не было, почувствовала, что врач и сопровождающий его ординатор в основном скучают. По ее словам, они не обратили на нее особого внимания.
Это ощущение исчезло, когда Элизе пришла за результатами обследования. Теперь она была в центре внимания врачей. Они наклонились вперед в своих креслах, поставив локти на колени, подбородки на руки, глаза сфокусированы на Элизе. "Как вы себя чувствуете?" - спрашивали они, как она помнит. По ее словам, она чувствовала себя как лабораторный образец - как лягушка, к которой прикладывают электроды.
Врачи увидели на снимке ее мозга, конечно же, ту самую "черную дыру". Когда такое поражение обнаруживается у младенцев, родители опасаются самого худшего. У взрослых инсульт левого полушария может лишить человека способности читать и писать, исказить его речь. Смысл слов может внезапно вылететь из головы, как будто ластиком стерли мысленный словарь человека. Врачи Элизы, вспоминает она, были удивлены тем, что ее словарный запас превышает уровень пятого класса.
В то время Элизе было плохо и страшно. Она не знала, растет ли поражение, предвещает ли оно раннюю болезнь Альцгеймера или "взорвется в моей голове", - говорит она. Повторное сканирование, проведенное через шесть месяцев, развеяло ее страхи. Результаты сканирования были такими же, как и в первый раз. Черная дыра в ее мозге не расширялась.
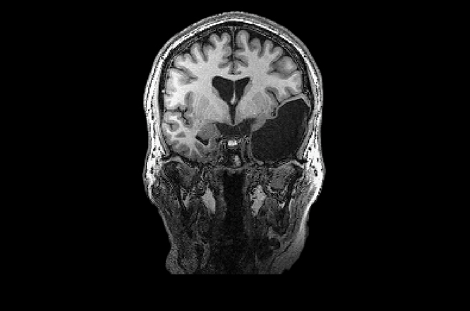
Элайза больше не возвращалась к этим врачам, но летом она получила второе мнение от нейрохирурга своей сестры. Он оперировал Марту, когда ей было 17 лет, после того как она заметила проблемы со зрением. Большая часть правой височной доли отсутствовала, возможно, в результате внутриутробного инсульта. Жидкость, скопившаяся в мозге, давила на нервы глаза, мешая зрению. "Они откачали жидкость, и я пошла своей дорогой", - говорит Марта. С тех пор ей больше не делали дренирование этой области.
Врач Марты посмотрел на снимки Элис и сказал ей, что по мере того, как МРТ становится все более распространенной, врачи находят других людей с мозгом, отличающимся от нормы. Он сказал: "Мы видим все больше и больше отклонений, и у вас такое же", - вспоминает она.

У Марты М., младшей сестры Элизы Г., также отсутствует большая часть височной доли, но на правой стороне мозга - почти зеркальное отражение поражения Элизы. Возможно, Марта перенесла инсульт еще в утробе матери. Позже скопление жидкости в мозге давило на нервы ее глаз, что мешало ей видеть. Как и у всех участников проекта "Интересный мозг", у Марты по языковым и когнитивным задачам средний балл или выше среднего.
Рождение проекта "Интересный мозг
Когда Элис и Федоренко впервые встретились, Федоренко заинтересовалась тем, как работают языковые зоны, когда отсутствует часть важной ткани. Она решила заглянуть в голову Элизе с помощью функциональной магнитно-резонансной томографии - метода, позволяющего отслеживать кровоток в мозге. Функциональная МРТ позволяет ученым увидеть, какие участки мозга активны, когда человек выполняет определенную задачу.
Для Элизы это означает неподвижно лежать в гигантской трубе аппарата МРТ, пока вокруг нее шумит оборудование. В зависимости от задачи Элизе может смотреть или слушать слова, предложения и рассказы, решать математические задачи или пространственные головоломки. Время от времени она нажимает кнопку, чтобы команда знала, что она не теряет бдительности.
За пределами трубки исследователи также проверяли словарный запас, навыки чтения и письма, а также интеллект Элизы. По результатам всех языковых тестов она заняла первые места. "Я могла бы, наверное, захватить мир, если бы у меня был весь мой мозг", - шутит Элизе.
Первое сканирование Элизы, проведенное командой Федоренко, выявило языковую активность в правой части мозга, о чем команда сообщила в 2022 году в журнале Neuropsychologia. По словам Федоренко, смещение функций вправо - это один из приемов, с помощью которого наш мозг справляется с повреждениями в левой части, о чем ранее сообщали другие ученые.
Команда задалась вопросом, может ли левая лобная доля Элизы также участвовать в этом процессе. Да, у Элизы отсутствует левая височная доля, говорит Федоренко, но ее левая лобная доля, где обычно и находится язык, совершенно цела. "Есть ли там язык?" - спросил Федоренко. Спросил Федоренко.
Но в этой доле вообще не было обнаружено зон, реагирующих на язык. Полученные результаты указывают на нейронный порядок действий при развитии языка: Без левой височной доли Элизы языковые зоны в ее левой лобной доле не могли подключиться.
Команда Федоренко также обнаружила, что у Элизы полностью отсутствует типичная область для чтения слов. Команда полагала, что такая область может проявляться в правой височной доле Элизы. Вместо этого, как оказалось, она использует сеть нейронов в зрительной коре, о чем команда сообщила в этом году в журнале Cognitive Neuropsychology.
"Оказывается, в мозге могут быть совершенно функциональные зрительные механизмы чтения, которые реализуются по-другому", - говорит Федоренко. Элайза, возможно, является первым зарегистрированным примером такой ситуации".
Результаты исследования мозга Элизы привлекли внимание репортера журнала Wired, который в прошлом году написал статью с притягивающим взгляд заголовком: "Она лишилась части мозга. Это не имело значения". Затем начали поступать электронные письма.
На следующее утро после публикации статьи в Wired почтовый ящик Федоренко был "заполнен классными фотографиями мозга - мозгов, лишенных самых разных частей", - говорит она. Во многих случаях люди узнавали о своем нетипичном мозге случайно. Федоренко слышала истории о том, как люди с напряжением в шее приходили на МРТ и обнаруживали, что у них отсутствует большая часть правой лобной доли. Другие, как Хелен Санторо, знали о своих поражениях мозга с детства.
Санторо, научный журналист, которая связалась с Федоренко после прочтения статьи в Wired, перенесла инсульт еще до рождения, и у нее, как и у Элизы, отсутствовала левая височная доля. Врачи говорили, что Санторо никогда не заговорит и ее придется поместить в специализированное учреждение. "Но месяц за месяцем я удивляла специалистов, проходя все типичные для детей моего возраста этапы развития", - написала она в сентябре прошлого года в статье о своем опыте для New York Times.
До сих пор неясно, почему одни травмы мозга остаются незамеченными, а другие требуют внимания, говорит ученый в области нейровизуализации Хелен Карлсон. Ее команда из Университета Калгари (Канада) работала с детьми, перенесшими ранние инсульты в моторной коре - области мозга, отвечающей за движение.
Некоторые дети с обширными повреждениями мозга имеют лишь незначительную слабость с одной стороны тела. Другие, у которых на МРТ "лишь небольшое пятнышко... имеют довольно глубокие нарушения на всю жизнь", - говорит Карлсон.
Такое несоответствие может быть характерно и для других трудностей, включая проблемы с языком и общим мышлением - и это одна из нескольких загадок, над которыми работает проект "Интересный мозг".
Как адаптируется мозг
По состоянию на 30 мая в рамках проекта "Интересный мозг" было проведено сканирование мозга 30 человек. У некоторых из них имеются отверстия в лобных или височных долях, у других отсутствуют части мозжечка - структуры мозга, участвующей в поддержании равновесия и движении. У других мозговое вещество прижато к боковым стенкам черепа; на снимках видны пустоты, как бы выпячивающиеся из центра мозга.
Такое нетипичное расположение может быть следствием кист, операций, инсультов или избыточного скопления жидкости в мозге. Некоторые из них могут приводить к тому, что в мозге остается гораздо меньше нервной ткани, чем обычно, причем иногда изменения могут быть резкими. Что же происходит, когда мозгу необходимо выполнять ту же работу, но на гораздо меньшем пространстве, спрашивает Федоренко. "Какие решения придумывает наш мозг, когда внезапно оказывается, что площадь для работы гораздо меньше?"
Сообщество ученых уже нашло некоторые ответы, изучая детей, перенесших перинатальные инсульты. В некоторых случаях во время рождения ребенка или в течение нескольких недель до и после него кровоток в головном мозге может полностью прекратиться, и ткани будут испытывать кислородное голодание.
Мозг может адаптироваться к таким повреждениям, но он не является куском глины с бесконечным потенциалом. Все думают: "О, мозг бесконечно пластичен", - говорит Элисса Ньюпорт, когнитивный нейробиолог из Джорджтаунского университета в Вашингтоне, округ Колумбия, - но он имеет тенденцию справляться с повреждениями определенными способами.
Недавно Ньюпорт работала с группой из 15 детей и молодых людей, которые перенесли перинатальные инсульты, в результате которых было повреждено левое полушарие в области, обрабатывающей слова и предложения. Почти в каждом случае мозг участников перенес язык на те же участки правого полушария, сообщили Ньюпорт и его коллеги в 2022 г. в журнале Proceedings of the National Academy of Sciences.
По ее словам, это выглядит так, как будто языковая область переключилась с левого полушария на правое, "точно зеркальное отражение того, как выглядят обычные, типичные мозги". Такая картина позволяет предположить, что определенные области мозга могут выполнять роль "щипцов" для языковой функции".
Но, по словам Федоренко, остается еще множество вопросов. Ей интересно, могут ли функции мозга накладываться друг на друга, разделяя одни и те же механизмы коры в атипичном мозге, когда в противном случае они могли бы располагаться в разных местах. А поврежденное левое полушарие не всегда означает, что язык перемещается в правое. Иногда языковая функция остается, выживая на периферии поврежденной области, - говорит Федоренко. "Никто не знает, почему так происходит".
Карлсон и его коллеги сообщили о подобной адаптации в 2020 г. в журнале Pediatric Neurology. Группа исследовала молодых пациентов, перенесших перинатальный инсульт, в результате которого была поражена двигательная кора головного мозга. По словам Карлсона, проект "Интересный мозг" ценен тем, что он может рассказать ученым больше о пластичности мозга на индивидуальном уровне - о том, как мозг конкретного человека адаптировался к травме.
Не у каждого человека мозг способен восстановиться. То, что ученые узнают из этого проекта, наряду с индивидуализированной нейровизуализацией, может помочь в прогнозировании и, возможно, в реабилитации. "Возможно, если мы сможем адаптировать варианты вмешательства к индивидуальным особенностям мозга, они будут более эффективными", - говорит Карлсон.
Получение результатов потребует времени. В настоящее время команда Федоренко занимается логистикой эксперимента, включая сканирование новых участников каждые одну-две недели, проведение поведенческих тестов и анализ данных. Тем не менее, по словам Федоренко, уже получены интересные результаты, и она надеется представить статью этим летом.
Она надеется, что проект сможет продемонстрировать диапазон решений, которые в некоторых случаях может использовать наш мозг, чтобы справиться с медленной или внезапной потерей нейронной недвижимости. Возможно, по ее словам, результаты проекта помогут большему числу людей понять, "насколько разными вы можете быть и при этом расти и делать удивительные вещи".
Что же такое нормальный мозг?
Во вступительной заметке к статье Федоренко, опубликованной в журнале Neuropsychologia 2022, Элизе пишет о том, что строение ее мозга не определяет ее. "Пожалуйста, не называйте мой мозг ненормальным, меня это пугает", - написала она. "Мой мозг нетипичен. Если бы не случайное обнаружение этих отличий, никто бы не выделил меня из толпы, как имеющую эти или любые другие отличия, которые делают меня уникальной".
Элизе надеется, что эта идея дойдет до врачей и ученых-исследователей. "Я хочу, чтобы они понимали, что это человек, о котором они читают статью, а не развоплощенный мозг в банке", - говорит она.
Элизе нравится работать с командой Федоренко еще и потому, что в исследованиях чувствуется сотрудничество. По словам Лесли Феллоуза, невролога из Университета Макгилла в Монреале, изучающего, как повреждения мозга влияют на принятие решений, ученые полагаются на тесное партнерство, чтобы понять, как мозг работает в обычных ситуациях и как он может восстанавливаться после травм. Люди с нетипичным мозгом "могут подарить нам множество замечательных идей, о которых мы, возможно, даже не задумывались", - говорит она. "Они обладают уникальной точкой зрения".
Например, Элис испытывает обонятельные галлюцинации. Она улавливает запах электрического огня, когда испытывает сильный стресс. "Когда я училась в аспирантуре, я чувствовала запах электрического пожара три раза в неделю", - говорит она. Элайза еще не изучала эту особенность мозга вместе с Федоренко и ее коллегами, но она готова выслушать их идеи относительно будущих исследований.
В последнем исследовании, результаты которого были опубликованы в препринте в этом году, Элизе, Марта и еще одна сестра (с "обычным" мозгом) участвовали в выполнении слуховых задач в трубке МРТ. Команда Федоренко хотела выяснить, как работает левая или правая слуховая кора, когда другая сторона отсутствует.
Тамар Регев, когнитивный нейробиолог из лаборатории Федоренко, говорит, что оставшаяся слуховая кора должна быть как-то усилена, чтобы выполнять двойную работу, возможно, занимая дополнительное пространство. Однако группа исследователей обнаружила совсем другое.
В мозге Элизы и Марты "активность выглядит совершенно нейротипичной", - говорит Регев. Это говорит о том, что в слуховой системе мозга существует некоторая избыточность и что развитие одной слуховой коры не зависит от существования другой".
Элизе интересно, какие еще открытия команда Федоренко получит из ее мозга и мозга других участников проекта "Интересный мозг". "Мой мозг особенный, уникальный и интересный, - написала она в статье 2022 года, - и я рада, что он может помочь нейробиологам понять пластичность человеческого мозга".
Прям научная статья какая то)
Так и есть)