Горшечное растение привело к разжижению мозга садовода
Садовод в США погиб от смертельной инфекции, которой заразился из-за своего горшечного растения. Об этом сообщает издание Daily Star.
82-летний мужчина, чье имя не раскрывается, увлекался садоводством. Во время ухода за одним из горшечных растений он заразился свободноживущими амебами, которые обитают в почве.
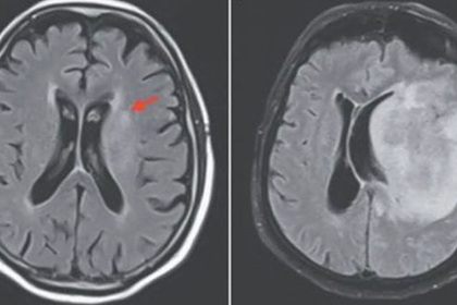
Попавшие в головной мозг микроорганизмы привели к его разжижению. В течение двух недель мужчина испытывал слабость, затем его госпитализировали. Врачи провели сканирование мозга и установили, что у пациента отказала правая часть тела и начались умственные нарушения. Позже мужчина скончался.
Случай описан в научном журнале New England Journal of Medicine. В анамнезе пациента была B-клеточная лимфома — разновидность рака крови, но более десяти лет заболевание находилось в ремиссии.

Свободноживущая амеба смертельно опасна для человека. Она вызывает редкие, но тяжелые заболевания. Большинство случаев не диагностируются до тех пор, пока не проводится вскрытие. Симптомы заражения включают головные боли, нарушения психики, жар, головокружение и тошноту, иногда психоз.
Источник:https://m.lenta.ru/news/2020/09/30/gardener/amp/