Мигрень изменяет некоторые структуры мозга: открытие исследования

Мигрень — это неврологическое заболевание, вызываемое множеством триггеров, как экологических, так и генетических. Он представляет собой третью по частоте патологию и вторую по инвалидности, поскольку негативно влияет на повседневную деятельность тех, кто от нее страдает. Болеют 12% населения Италии (около 7-8 млн человек), с преобладанием среди женщин. Факторов, которые могут способствовать возникновению мигрени, много, но их присутствия недостаточно, чтобы спровоцировать приступ. Для возникновения мигрени также должна быть определенная предрасположенность: головной мозг должен быть мигренозным, т.е. гиперреактивным и гиперчувствительным, который не способен адекватно фильтровать раздражители, поступающие из внешней среды и от нашего организма. Это означает, что здоровый субъект, даже при воздействии триггерных факторов, у него не будет головной боли, так как у него нет мигренозного мозга. Однако механизм возникновения мигренозной боли до сих пор не ясен.
Теперь группа исследователей из Университета Южной Калифорнии в Лос-Анджелесе сделала интригующее открытие, которое может помочь разгадать тайну мигрени. Используя МРТ сверхвысокого разрешения, исследователи обнаружили, что периваскулярные пространства (вокруг кровеносных сосудов в головном мозге) необычно увеличены у страдающих мигренью, как хронической, так и эпизодической. Хотя связь или роль мигрени еще предстоит установить, открытие может послужить отправной точкой для разработки новых методов лечения. Результаты исследования были представлены на 108-й Научной ассамблее и ежегодном собрании Радиологического общества Северной Америки.
Типы мигрени
Мигрень — головная боль, характеризующаяся пульсирующей болью средней и сильной интенсивности, которая локализуется в половине головы и лица, но может возникать и двусторонне. Она имеет тенденцию ухудшаться при движении и физической нагрузке и обычно сопровождается тошнотой и/или рвотой. На основании частоты нарушения можно отличить мигрень в эпизодической форме (до 14 дней в месяц) от мигрени в хронической форме (>15 дней в месяц в течение периода времени не менее 3 месяцев). . Использование обезболивающей и противовоспалительной терапии не всегда позволяет облегчить боль, поэтому поиск более эффективных стратегий лечения улучшил бы жизнь миллионов людей.
Мигрень, диета, богатая жирной рыбой, уменьшает приступы головной боли
Функция периваскулярных пространств
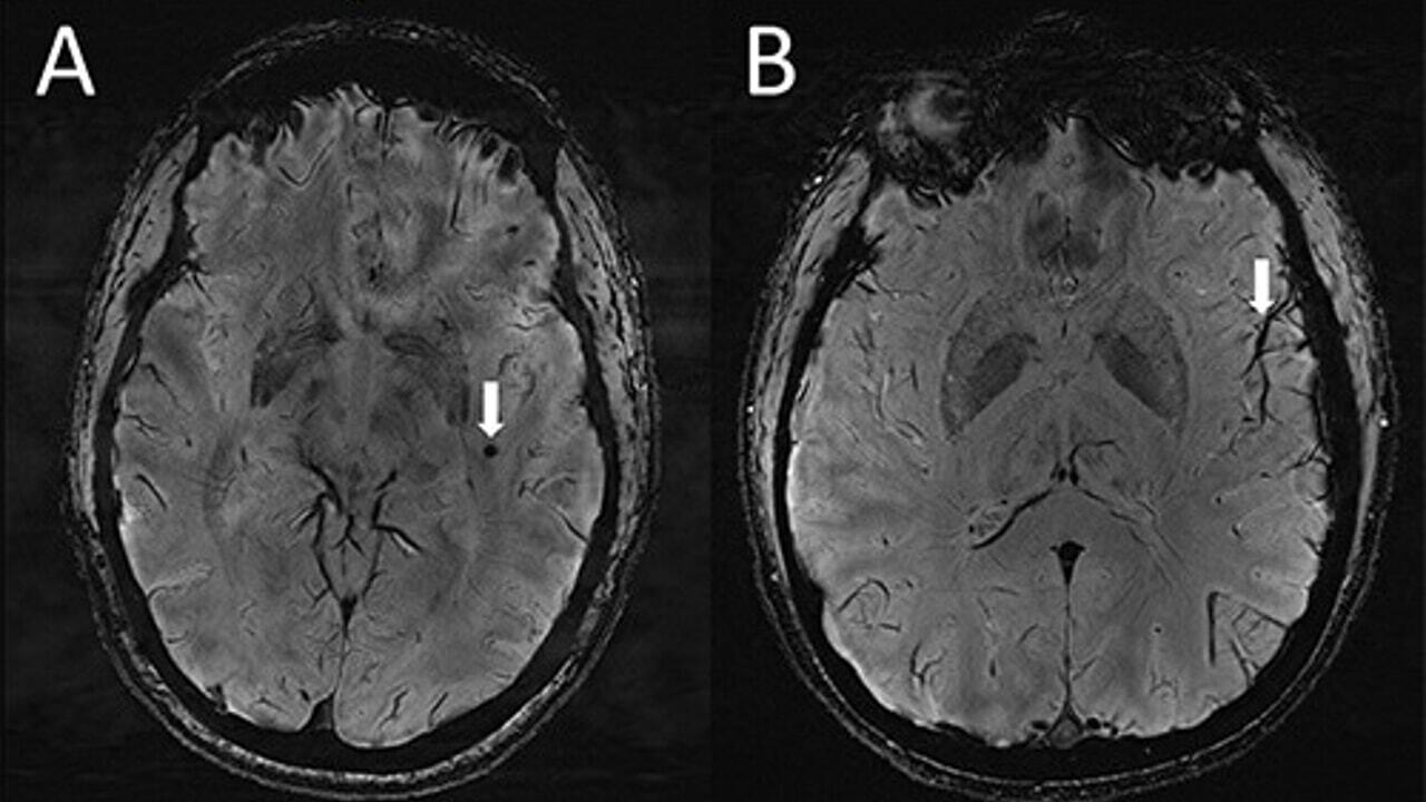
Периваскулярные пространства представляют собой заполненные жидкостью пространства, окружающие кровеносные сосуды головного мозга. Чаще всего они обнаруживаются в базальных ганглиях (скопление серого вещества в полушариях головного мозга), белом веществе головного мозга (часть мозга, содержащая нервные волокна) и вдоль зрительного тракта (часть зрительной системы, расположенная в головного мозга) и зависят от нескольких факторов, включая нарушения гематоэнцефалического барьера и воспаление. "Периваскулярные пространства являются частью системы оттока жидкости в головном мозге, - сказал соавтор исследования Уилсон Сюй. - Их расширение может быть признаком заболевания мелких сосудов".
Я учусь
Для изучения связи между мигренью и изменениями периваскулярного пространства исследователи набрали 20 пациентов в возрасте от 25 до 60 лет с мигренью: 10 с хронической мигренью без ауры (отсутствие симптомов, предшествующих головной боли) и 10 с эпизодической мигренью. Кроме того, в качестве контрольной группы были включены 5 здоровых пациентов, не страдающих мигренью. Исключались пациенты с когнитивными нарушениями, клаустрофобией, опухолью головного мозга или ранее перенесшие операции на головном мозге. Чтобы изучить структурные микрососудистые изменения при двух типах мигрени, исследователи сканировали мозг пациентов с помощью нового типа МРТ: МРТ 7 тесла. «Насколько нам известно, — сказал Сюй, —
«Поскольку 7 Т МРТ способна генерировать изображения головного мозга с гораздо более высоким разрешением и лучшим качеством, чем другие типы МРТ, ее можно использовать для демонстрации гораздо меньших изменений, происходящих в тканях головного мозга после мигрени».
Как отличить разные виды головной боли
Мигрень вызывает расширение периваскулярных пространств.
Сканирование выявило значительные изменения периваскулярных пространств в centrum semiovale (центральная область белого вещества головного мозга) у людей с хронической мигренью и эпизодической мигренью без ауры. В частности, эти пространства были больше, чем в контрольной группе. «Об этих изменениях, — подчеркнул Сюй, — никогда раньше не сообщалось». Исследователи предполагают, что значительные различия в периваскулярных пространствах у пациентов с мигренью по сравнению со здоровыми субъектами могут свидетельствовать о нарушении лимфатических узлов в головном мозге. «Глимфатическая система, — объяснил Сюй, — это система удаления отходов, которая использует периваскулярные каналы, чтобы помочь вывести растворимые белки и метаболиты из центральной нервной системы. Однако,
Приступы мигрени могут вызвать поражение белого вещества в будущем
Исследователи также обнаружили, что увеличение периваскулярного пространства в полуовальном центре связано с повышенной гиперинтенсивностью белого вещества у пациентов с мигренью. Эти гиперинтенсивные образования проявляются в виде белых пятен или ярких поражений на МРТ-сканах, и, хотя они не являются чем-то необычным, в настоящее время они все еще плохо изучены. Известно, что у многих людей они начинают проявляться после достижения шестидесятилетнего возраста и что те же самые изменения, вызванные этими поражениями, имеют тенденцию усиливаться с возрастом.
Изучая снимки, исследователи отметили, что частота этих поражений была одинаковой между пациентами с мигренью и контрольной группой, однако их тяжесть у пациентов с мигренью была выше. Это предполагает, по мнению авторов исследования, что расширение периваскулярных пространств может привести к дальнейшему развитию большего количества поражений белого вещества.
Открытие прокладывает путь к разработке новых методов лечения.
Хотя взаимосвязь между расширенными периваскулярными пространствами и мигренью неясна, результаты исследования позволяют предположить, что мигрень связана с нарушением мозгового кровообращения, глимфатической системы, ответственной за удаление продуктов жизнедеятельности в головном мозге и в нервной системе и использующей периваскулярные каналы для транспорта. Для изучения этой корреляции необходимы новые исследования. «Результаты нашего исследования могут вдохновить будущие крупномасштабные исследования для продолжения изучения того, как изменения в микроскопических сосудах головного мозга и кровоснабжении влияют на различные типы мигрени», — заключил Сюй. Новые персонализированные способы диагностики и лечения мигрени».
ИСТОЧНИК: https://www.today.it
согласна с учеными , возможно будут новые открытия в этой области медицины и найдут методы борьбы с мигренью , которая снижает качество жизни человека